Individuelle Betreuung zur Makuladegeneration durch Oberärztin Pavlovic, Professor Shajari und Dr. Grunwald. Präzise Diagnostik zur frühzeitigen Erkennung. Wissenschaftlich fundierte Therapien zum Schutz Ihrer Sehkraft. Zentral in Frankfurt. Modern, digital, komfortabel. Jetzt Termin sichern und Expertenrat einholen!
Mit Abend- und Wochenendterminen
sowie kostenfreien Parkmöglichkeiten*
Modernste Verfahren für Ihre Augen
Das zentrale Sehen nimmt ab
Zwei Formen. Unterschiedliche Herausforderungen.
Modernste Diagnostik für Ihre Augen
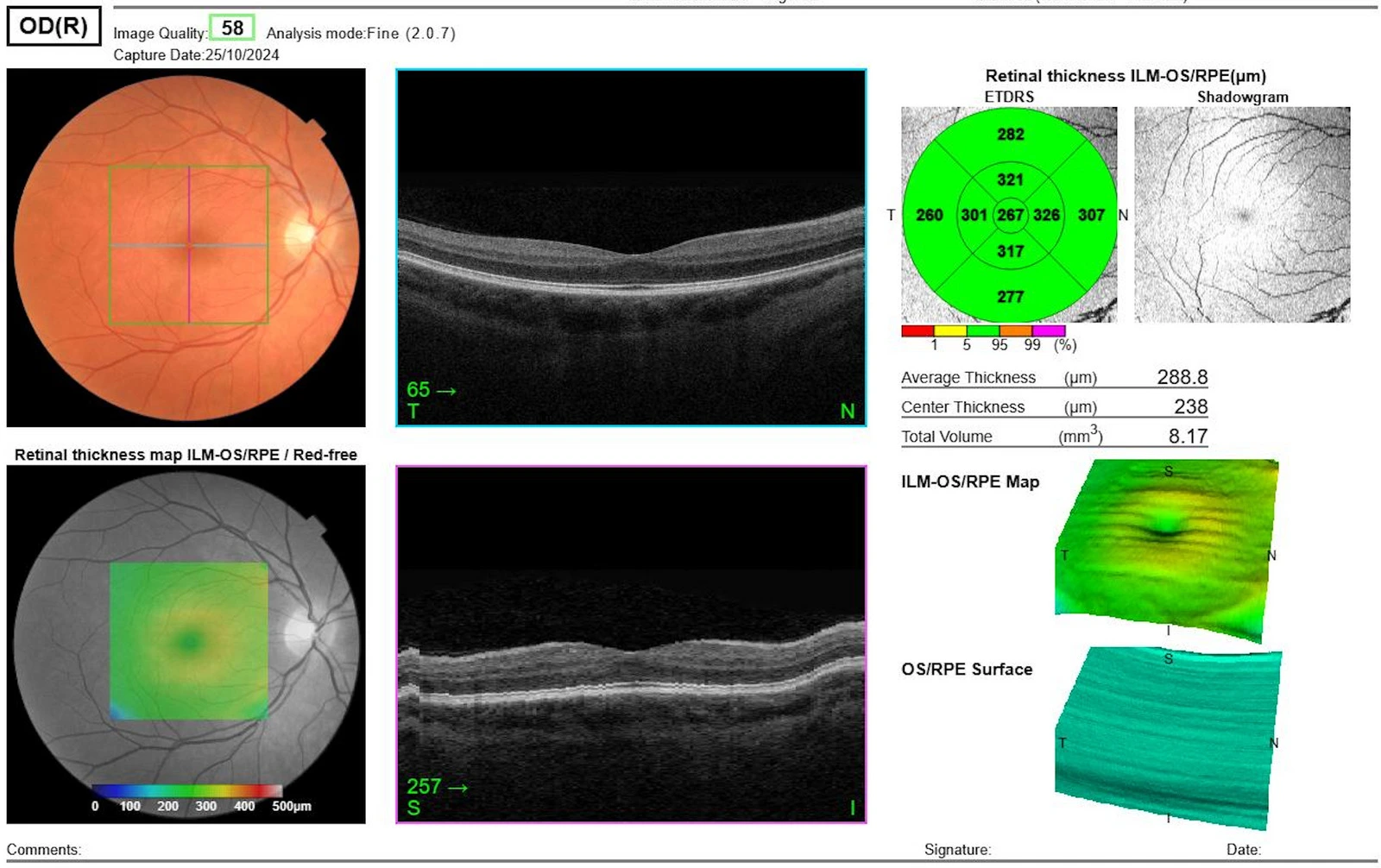
Wir schauen uns im Detail die einzelnen Zellschichten Ihrer Netzhaut an und entdecken dadurch kleinste Veränderungen häufig bevor Sie Symptome haben. Mit unseren modernen Ultrawide-Aufnahmen müssen Sie nicht mal mehr Pupillen erweiternde Tropfen bekommen – d. h. keine Ausfallzeiten für Sie und bequemes Anreisen mit dem Auto ist auch möglich.
In der Feinschicht Aufnahme (OCT)
werden
selbst kleinste
Veränderungen der Netzhaut sofort
sichtbar.
von der Netzhaut ersichtlich durch die
revolutionäre Ultrawide-Aufnahme – und das
ganz ohne die Pupille zu erweitern!
Normale Aufnahme bei
enger Pupille

Neueste Ultrawide-Aufnahme
bei enger Pupille
Einfache Tipps für Ihre Augen

Gesunde Ernährung
Eine Ernährung, die reich an grünem Blattgemüse, Obst und Fisch ist, kann helfen, das Sehvermögen zu unterstützen. Antioxidantien, Lutein und Omega-3-Fettsäuren sind besonders vorteilhaft.

Regelmäßige Augenuntersuchung
Besonders wichtig sind regelmäßige Augenuntersuchungen, um Veränderungen der Makula sowie einhergehende Symptome zu überwachen und frühzeitig reagieren zu können.
Rauchverzicht
Rauchen ist ein Risikofaktor für die Entwicklung und das Fortschreiten von AMD. Das Aufgeben des Rauchens kann das Risiko reduzieren.
UV-Schutz für die Augen
Tragen Sie Sonnenbrillen mit UV-Schutz, um Ihre Augen vor schädlicher UV-Strahlung zu schützen.
Ausreichend Bewegung
Regelmäßige körperliche Aktivität kann das Risiko für AMD verringern und die allgemeine Gesundheit fördern.
Der Amslertest
sollte täglich mit beiden Augen abwechselnd durchgeführt werden, um frühzeitig Veränderungen beim Sehen feststellen zu können.
Blutdruck und Cholesterin kontrollieren
Ein gesunder Blutdruck und Cholesterinspiegel können dazu beitragen, das Risiko für AMD zu senken.
Augenärzte, die begeistern.
Frau Pavlovic war jahrelang Oberärztin
an der Uniklinik Frankfurt und ist
Spezialistin für eine Vielzahl
ophthalmologischer Anliegen. Sie wird
Ihre Netzhaut beurteilen und einen
Behandlungsplan für Sie erstellen.
Professor Shajari bringt seine
umfangreiche Erfahrung in die
Behandlung von
Augenerkrankungen. Er wird eine
mögliche Behandlung bei der
Makuladegeneration immer
persönlich durchführen.
Frau Dr. Grunwald bietet mit Ihrer
langjährigen
Erfahrung ein umfangreiches
Spektrum
an augenärztlichen Leistungen an.
Unser Augenzentrum wurde mit dem „German Customer Award“ ausgezeichnet – eine Anerkennung für unsere außergewöhnlich hohe Patientenzufriedenheit.
Überzeugen Sie sich jetzt selbst von unserer Praxis und unseren Profis für das PRK-Augenlasern, Astigmatismus und vieles mehr. Buchen Sie einen Termin zur Makuladegeneration-Untersuchung bei Ihrem Augenarzt in Frankfurt!
IVOM ist ein Verfahren, bei dem Medikamente direkt in das Auge injiziert werden, um bestimmte Augenerkrankungen wie die altersbedingte Makuladegeneration (AMD), diabetische Retinopathie und Makulaödem zu behandeln.
AMD ist eine Erkrankung der Netzhaut, die das zentrale Sehen betrifft und in zwei Formen auftreten kann: trockene und feuchte AMD. Die feuchte Form führt zu einer schnellen Verschlechterung des Sehens, während die trockene Form langsamer voranschreitet.
Die IVOM-Verfahren werden eingesetzt, um Medikamente wie Anti-VEGF (Vascular Endothelial Growth Factor) zu verabreichen, die das Wachstum von undichten Blutgefäßen im Auge hemmen und so den Krankheitsverlauf verlangsamen oder stabilisieren.
In den meisten Fällen sind mehrere Behandlungen erforderlich. Die Häufigkeit hängt von der Reaktion auf die Makuladegeneration-Therapie ab. Typischerweise beginnen die Injektionen in monatlichen Abständen, die Abstände können jedoch mit der Zeit verlängert werden.
Die Injektion erfolgt unter örtlicher Betäubung, sodass der Vorgang in der Regel schmerzfrei ist. Es kann jedoch zu einem leichten Druckgefühl kommen.
Zu den möglichen Nebenwirkungen zählen vorübergehende Augenreizungen, Rötungen und
ein leichtes Fremdkörpergefühl. Schwerwiegendere Komplikationen wie Infektionen oder
Netzhautablösungen sind selten.
Patienten mit feuchter AMD, diabetischem Makulaödem oder anderen
Netzhauterkrankungen, die auf Anti-VEGF-Medikamente ansprechen, sind in der Regel geeignete
Kandidaten.
Die genauen Ursachen der Makuladegeneration sind noch nicht vollständig geklärt, jedoch spielen mehrere Faktoren eine Rolle. Dazu gehören vor allem Alter, genetische Veranlagung sowie Lebensstilfaktoren wie Rauchen, ungesunde Ernährung oder übermäßige UV-Belastung. Außerdem können Erkrankungen wie Bluthochdruck oder Diabetes das Risiko erhöhen.
Für Sie da. Immer.
E-Mail schreiben >
Unser Ziel ist es innerhalb von 24h uns bei Ihnen zu melden.
WhatsApp schreiben >
Der vermutliche schnellste Weg zur Antwort
Notfall
Wählen Sie für Notfälle die 24/7 Notfallnummer aus den Behandlungsunterlagen. Wir
sind
immer für Sie da.









